今晩は!
医療法人社団愛正会
新秋津秋津駅前まつぱら歯科
歯科衛生士鈴木です。
本日は院内ミーティングで医院をお休みさせて頂きました。
朝から各部署に分かれての勉強会でしたが、
衛生士チームは以前より講習を受けているボーテ(ホワイトニング)の佐藤先生をお迎えしてのとても充実した勉強となりました!
前半は久しぶりの受講だったので、
ここ何ヵ月かの振り返りや、疑問に思ったこと、ホワイトニングの質問などしながら復習をすることができました。
午後の実技は
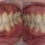
「ガムピーリング」
ガムピーリングというのは、簡単に言うと
歯肉の色をきれいにする治療です。
例えばタバコを吸っている方の歯肉が黒ずんでいるのをみたことはないですか?!
でもタバコ意外にも歯肉の色が黒ずんでしまったり、もともと歯肉が黒ずんでいる方もおられます。
そのような歯肉に薬液を塗布してきれいな歯肉にすることができるのがガムピーリングです!
実際、勉強実技を行って比較的簡単に、麻酔もなく(表面麻酔のみ)できることにビックリしました。
このような歯肉の色で悩んでいたり、ピンクのきれいな歯肉になりたいと思っている方はおられませんか(^-^)?
皆さんのお越しを是非お待ちしております!



